치아가 예뻐보이는 황금비율
치아성형
아름답고 투명하게 보이는
해온치과 치아성형 포인트
환자의 다양한 구강 특징과 치아 형태를 분석하여, 개인에 맞는 아름답고
자연스러운 스마일라인을 만듭니다.
황금비율 분석
단순하게 깨진 치아나 불규칙한 모양만을 바로잡는 것이 아니라 아름다운 미소를 결정하는 치아모양, 크기, 잇몸라인,
치아색상 전체를 고려한 시술로 밝고 환한 미소를 만들 수 있습니다.

치아의 크기

보기 좋은 치아의 배열

치아의 교합과 기울기

치아의 좌우 밸런스

잇몸 라인

스마일 라인
치아 투명도
해온치과만의 노하우로 치아 고유의 색, 표면의 질감, 투명도를 재현합니다.

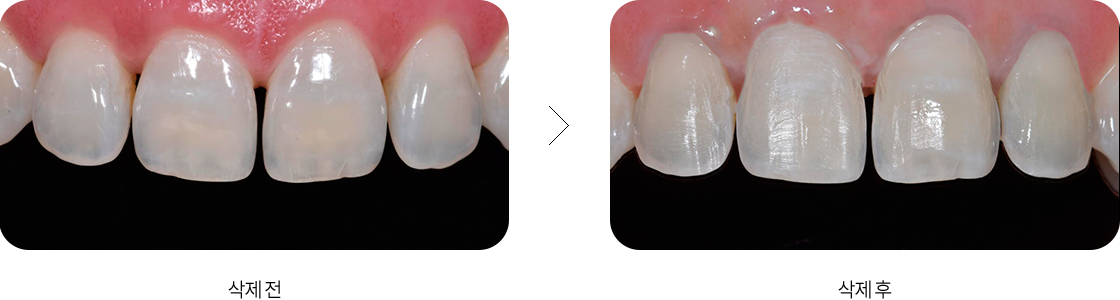
최소한의 치아 삭제량
3차원 입체분석을 통해서 핸드메이드 방식으로 “무삭제” 또는 “최소한”으로 치아를 삭제합니다.

치아성형 시술대상
해온치과 에서는 치아의 형태,교합을 고려하여 치아를 최대한 보존하면서
심미성을 극대화할 수 있는 심미치료를 합니다.
치아 상태에 따른 다양한 치아성형 방법
종류
필요한 경우
방법
치아 삭제량

레진 Resin
앞니가 조금 깨지거나 벌어진 경우
레진을 사용하여 모양을 복구
치료가 필요한 부위 일부 삭제

최소삭제 라미네이트
치아 끝이 살짝 깨지거나 떨어진 경우
치아 표면을 얇게 삭제하여 세라믹으로
붙이는 방법
0.1~0.3mm삭제

올세라믹
치아의 벌어짐이 심하고 돌출이
심한 경우
세라믹을 이용하여 치아 전체를
감싸주는 방법
1.0~2.0mm삭제
치아성형 시술과정





대표전화
031.8042.2155
진료시간
‧월,수 : AM 09:30 ~ PM 08:00 (야간진료)
‧점심시간 : PM 12:30 ~ PM 02:00
‧저녁시간 : PM 05:00 ~ PM 05:30
‧화,목,금 : AM 09:30 ~ PM 06:30
‧점심시간 : PM 12:30 ~ PM 02:00
‧토요일 : AM 09:30 ~ PM 02:00 (점심시간 없음)
‧일요일, 공휴일 휴진
주소
경기도 수원시 권선구 당수로 112, 눈담봄 3층.
(당수동, 눈담봄112)